- Research article
- Open access
- Published:
Modulation of cathepsin G expression in severe atopic dermatitis following medium-dose UVA1 phototherapy
BMC Dermatology volume 2, Article number: 12 (2002)
Abstract
Background
During the last decade, medium-dose UVA1 phototherapy (50 J/cm2) has achieved great value within the treatment of severe atopic dermatitis (AD). The purpose of our study was to investigate to what extent UVA1 irradiation is able to modulate the status of protease activity by the use of a monoclonal antibody labeling cathepsin G.
Methods
In order to further elucidate the mechanisms by which medium-dose UVA1 irradiation leads to an improvement of skin status in patients with AD, biopsy specimens from 15 patients before and after treatment were analyzed immunohistochemically for proteolytic activation.
Results
Compared to lesional skin of patients with AD before UVA1 irradiation, the number of cells positive for cathepsin G within the dermal infiltrate decreased significantly after treatment. The decrease of cathepsin G+ cells was closely linked to a substantial clinical improvement in skin condition.
Conclusions
In summary, our findings demonstrated that medium-dose UVA1 irradiation leads to a modulation of the expression of cathepsin G in the dermal inflammatory infiltrate in patients with severe AD. Cathepsin G may attack laminin, proteoglycans, collagen I and insoluble fibronectin, to provoke proinflammatory events, to degrade the basement membrane, to destroy the tissue inhibitor of metalloproteinases and to increase the endothelial permeability. Therefore, its down-regulation by UVA1 phototherapy may induce the reduction of skin inflammation as well as improvement of the skin condition.
Background
Atopic dermatitis (AD) is a troublesome inflammatory skin disease characterized by severe pruritus, typical eczematous morphology and a chronic relapsing course. Population studies suggest that approximately 15% of the population is already affected at some point during childhood [1, 2].
Low-, medium- and high-dose UVA1 phototherapy have been used successfully in the treatment of severe AD and other inflammatory Tcell-derived skin diseases [3–5]. Recently, it has been demonstrated that UVA1 phototherapy induces apoptosis of Tlymphocytes in lesional skin of AD patients [6]. However, little has been investigated concerning the exact in vivo mechanisms and pathways underlying UVA1-induced improvement of skin status.
Cathepsin G, a serine protease, is often associated with the degradation of cells and participates in a cascade of other proteolytic proinflammatory pathways. Additionally, cathepsin G increases the permeability of endothelial barriers contributing to perivascular lymphocytic migration and activation [7]. The pathogenesis of AD remains not completely understood. Histologically, AD is recognized by an inflammatory degradation of lesional skin combined with an increased number of dermal Tlymphocytes, predominantly Thelper cells of the so-called Th2 subtype expressing a specific pathological cytokine pattern, eosinophils, Langerhans cells, mast cells and other mononuclear cell populations [8]. Hence, we considered the expression of cathepsin G as a potential marker indicating UVA1-induced reduction of cutaneous inflammation. The purpose of our study was to assess its expression in untreated and UVA1-irradiated skin in patients with AD. We tried to investigate to what extent UVA1 irradiation is able to modulate the status of protease activity by the use of a monoclonal antibody labeling cathepsin G.
Patients and methods
Subjects
Biopsies were obtained from 15 patients with acute exacerbation of severe AD fulfilling the diagnostic criteria for AD by Hanifin and Rajka with a medium SCORAD score of 70.4 ± 13.1 (mean ± SD) [9, 10]. Only patients with an initial SCORAD score above 45 points and representative involvement of the shoulders were assessed. All patients gave informed consent for participation in the study. Exclusion criteria were: patients with bacterial or viral superinfection, pregnancy or lactation, oral antibiotics, external corticoid therapy or antihistaminica within the last two weeks, phototherapy within the last nine weeks, autoimmune disease with known photosensibility and a history of polymorphous light eruption. Patients were treated with whole body UVA1 cold light phototherapy consisting of an exposure of 50 J/cm2 five times a week for three weeks, resulting in a total of 15 treatment sessions and a cumulative UVA1 dose of 750 J/cm2 each. The UVA1 irradiation equipment consisted of a Photomed CL 300000 liquid emitting wavelengths of 340–530 nm peaking at 370 and 380 nm. Additional therapy was restricted to the use of emollients.
Cathepsin G and CD3 immunolabeling
In all subjects measurements were performed on skin site of the right shoulder in order to minimize a sampling error. Initially and one hour following the 15th irradiation, punch biopsies measuring 3 mm in diameter were taken from an inflamed area (pretherapeutic) and an almost completely healed site of former inflammation from the same locality in a distance of >4 cm (posttherapeutic). Taking consecutive sections, the alkaline phosphatase anti-alkaline phosphatase (APAAP) technique using the labeled streptavidin-biotin method (LSAB) was used to enumerate cathepsin G+ cells at a dilution of 1:450 and CD3+ cells at a dilution of 1:50. All proceedings followed the given staining procedures [6].
Determination of immunopositive cells
In sites of perivascular infiltration, total skin-infiltrating cells, CD3+ cells and cathepsin G+ cells were counted 'blind' separately in three view fields in a row (0.25 mm × 0.25 mm each) directly below the dermoepidermal junction resulting in a length of 0.25 mm and 0.75 mm in depth. In order to avoid a sampling error, all sections were counted 'blind' for two times by the first observer. Additionally, a number of sections was randomly counted by a second observer. In case of a difference of >2%, the sections had to be recounted by both observers. Positive cells were expressed as a percentage of the dermal infiltrate per field below the junction (mean ± SD).
In addition to histological cell count, all sections were also evaluated for features of distribution pattern as well as for morphological characteristics.
Statistics
Results are expressed as mean ± SD. After performing explorative data analysis, statistical evaluation, both for clinical improvement and histological cell count, was achieved using the Student's t-test for paired samples (normal distribution). P-values < 0.05 were considered to be significant.
Results
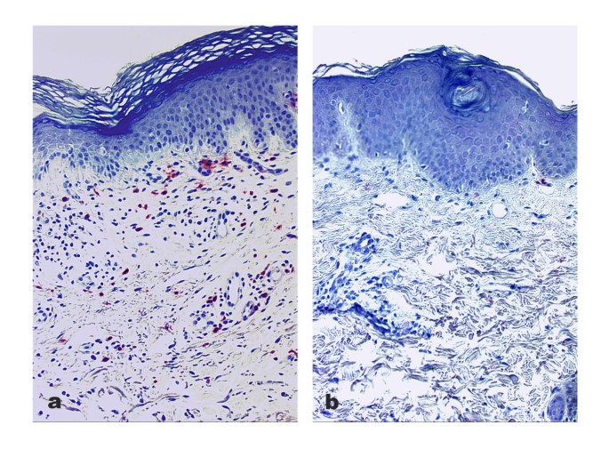
After three weeks of treatment the SCORAD score decreased significantly from 70.4 ± 13.1 to an average of 24.7 ± 12.1 (p < 0.0001). Prior to therapy an elevated percentage of cathepsin G+ cells, morphologically predominantly lymphocytes, could be detected within the dermal inflammatory infiltrate in AD. The enhanced staining distribution could be reduced after UVA1 phototherapy (Fig. 1a,1b).
Pre- and posttherapeutic labeling of cathepsin G in a representative patient with atopic dermatitis Cathepsin G immunostaining in skin biopsies of a representative patient with severe atopic dermatitis before (a) and after (b) treatment. Note the decrease of cathepsin G+ inflammatory cells (b) after 3 weeks of medium-dose UVA1 phototherapy with a cumulative dose of 750 J/cm2 (original magnification, × 200).
Referring to cathepsin G+ immunostaining before therapy, an average expression of 10.0% ± 0.051 within the 1st field, 7.3% ± 0.059 within the 2nd field and 6.8% ± 0.077 within the 3rd field was assessed. Taken together, the percentage of cathepsin G+ cells was determined at a mean grade of 8.0% ± 0.054 in sites of perivascular infiltration in patients with AD (Fig. 1a, Fig. 2). After medium-dose UVA1 phototherapy, a significant reduction of cathepsin G+ cells towards a mean percentage of 5.3% ± 0.044 within the 1st, 4.2% ± 0.039 within the 2nd and 2.6% ± 0.040 within the 3rd field below the junction could be observed. The total average percentage of inflammatory cells stained positive for cathepsin G immunolabeling was 4.1% ± 0.031 (p = 0.001; Fig. 1b, Fig. 2). Simultaneously, cathepsin G+ cells were counted with a mean of 8.8 ± 7.1 per field before and 4.7 ± 4.1 after the UVA1 phototherapy.
Pre- and posttherapeutic changes of dermal cathepsin G expression Boxplot diagram of the differences between pre- and posttherapeutic percentages of cathepsin G+ cells in patients with severe atopic dermatitis (n = 15) following medium-dose UVA1 phototherapy. Black bar = median, whisker = range, triangles = outliers.
The decrease of cathepsin G+ cells was accompanied by a significant decrease of the absolute number of skin-infiltrating cells (p < 0.05) indicating the strong effect of UVA1 irradiation on the dermal infiltration and a sharp decrease after successful treatment. Thereby, CD3+ cells were detected at a mean number of 38.9 ± 26.7 before and 15.5 ± 10.4 after the UVA1 phototherapy per field.
Apart from some occasional immunopositive dermal cells within the papillary dermis, control sections of non-lesional skin of healthy volunteers were negative for cathepsin G (data not shown).
Discussion
In order to further elucidate the mechanisms by which medium-dose UVA1 irradiation leads to an improvement of skin status in patients with AD, biopsy specimens from 15 patients before and after treatment were analyzed immunohistochemically for features of proteolytic activation. As compared with lesional skin of patients with AD before UVA1 irradiation, the percentage of cathepsin G+ cells within the dermal infiltrate decreased significantly after treatment. The relative decrease of cathepsin G+ cells was closely linked to a substantial clinical improvement of skin condition and a significant decrease of the dermal lymphocytic infiltrate. As both biopsies were taken from the same localization no remarkable differences concerning histological characteristics were expected. Nevertheless, intraindividual variation with body site cannot be completely excluded. In order to prevent an effect on the cellular infiltrate of the second biopsy by the vicinity of the first biopsy before treatment, biopsies were taken in a distance of at least 4 cm [6].
Cathepsins comprise a family of proteolytic enzymes, which are normally present in most human cells and particularly neutrophils. Beside the participation of cathepsins concerning tumor invasion and metastases, cathepsin G incorporates widespread effects on direct proteolytic cascades and inflammation. Additionally, cathepsin G initiates or participates in a cascade of other proteolytically destructive processes [11, 12]. The serine protease is known to attack proteoglycans, insoluble fibronectin, collagen I and laminin, which also have proinflammatory properties themselves. Moreover, cathepsin G obtains the potential to induce proinflammatory events, to degrade the basement membrane as well as to increase the permeability of endothelial barriers contributing to further direct and indirect injury, chemotaxis, migration and activation of Tlymphocytes [13, 14]. Another characteristic of cathepsin G is the destruction of the tissue inhibitor of metalloproteinases (TIMP), which inhibits the activity of metalloproteinases and may therefore protect collagen and other macromolecules from a possible degradation [15], probably interfering with the UVA1-induced reduction of dermal collagen due to an increase of the collagenase I activity [16]. Interestingly, cathepsin G has recently been found to participate in the apoptotic cascades by cleaving the hbrm protein [17].
In summary, our data demonstrate that medium-dose UVA1 irradiation of 50 J/cm2 is able to modulate significantly the expression of cathepsin G in dermal skin infiltrating cells in AD patients. The significant decrease of cathepsin G+ was accompanied by an eminent reduction of dermal Tcells (CD3+). Taking morphological characteristics, staining pattern as well as consecutive sections (immunolabeling of CD3 and cathepsin G) into consideration, the majority of cathepsin G+ cells may obviously be contributed to dermal CD3+ lymphocytes. Nevertheless, as most human cells i.e. neutrophils are able to express cathepsin G, a synergistic interference by different cell types simultaneously expressing cathepsin G cannot be completely excluded. Additionally, by comparing percentages of cathepsin G+ cells based on the absolute number of skin-infiltrating cells per field, it is unlikely that the reduced expression of cathepsin G identified in the post-UVA1 specimens might simply reflect an overall decrease in the number of inflammatory cells within the dermis. Even though we propose a direct effect of UVA1 irradiation on the expression of cathepsin G, the reduction of immunopositive might also be due to a reduction of other inflammatory cells or a noncytolytic alteration in mediator release. However, as the serine protease cathepsin G is thought to induce an inflammatory reaction associated with various proteolytic degradations, its down-regulation following UVA1 phototherapy may contribute to the reduction of skin inflammation combined with the remarkable improvement of the skin status. However, further clinical trials are required in order to verify our data in a larger number of patients.
Conclusions
Based on our results, we conclude that serial medium-dose UVA phototherapy significantly decreases the expression of cathepsin G as a potential marker indicating proteolytic activity in patients suffering from severe AD in vivo. As cathepsin G is involved in a variety of destructive pathways, we propose a correlation between the improvement of clinical symptoms and the down-regulation of pro-inflammatory events in lesional skin by the treatment with medium-dose UVA1 irradiation.
References
Leung DYM: The skin as a window into the pathogenesis of chronic allergic diseases. J Allergy Clin Immunol 1995, 96: 302–319.
Rothe MJ, Grant-Kels JM: Atopic dermatitis: An update. J Am Acad Dermatol 1996, 35: 1–13.
Kowalzick L, Kleinheinz A, Weichenthal M, et al.: Low dose versus medium dose UV-A1 treatment in severe atopic eczema. Acta Derm Venereol 1995, 75: 43–45.
von Kobyletzki G, Freitag M, Herde M, et al.: Phototherapy of severe atopic dermatitis: Comparison between conventional UVA1 phototherapy, UVA1. cold light phototherapy and combined UVA-UVB phototherapy. Hautarzt 1999, 50: 27–33. 10.1007/s001050050860
Krutmann J, Czech W, Diepgen T, et al.: High-dose UVA1 therapy in the treatment of patients with atopic dermatitis. J Am Acad Dermatol 1992, 26: 225–230.
Breuckmann F, Pieck C, Kreuter A, et al.: Opposing effects of UVA1 phototherapy on the expression of bcl-2 and p53 in atopic dermatitis. Arch Dermatol Res 2001, 293: 178–183. 10.1007/s004030100216
Tani K, Ogushi F, Shimizu T, et al.: Protease-induced leukocyte chemotaxis and activation: roles in host defense and inflammation. J Med Invest 2001,48(3–4):133–141.
Cooper KD: Atopic Dermatitis: Recent trends in pathogenesis and therapy. J Invest Dermatol 1994, 102: 128–137.
Hanifin JM, Rajka G: Diagnostic features of atopic dermatitis. Acta Derm Venerol 1980, 92: 44–47.
European Task Fore on Atopic Dermatitis: Severity scoring of atopic dermatitis: The SCORAD index. Dermatology 1993, 186: 23–31.
Okada Y, Nakanishi I: Activation of matrix metalloproteinase 3 (stromelysin) and matrix metalloproteinase 2 ('gelatinase') by human neutrophil elastase and cathepsin G. FEBS Lett 1989,249(2):353–356. 10.1016/0014-5793(89)80657-X
Liotta LA: Tumor invasion and metastases: role of the extracellular matrix. Cancer Res 1986, 46: 1–7.
Capodici C, Muthukumaran G, Amoruso MA, et al.: Activation of neutrophil collagenase by cathepsin G. Inflammation 1989,13(3):245–258.
Bruch M, Landwehr R, Engel J: Dissection of laminin by cathepsin G into its long-arm and short-arm structures and localization of regions involved in calcium dependent stabilization and self-association. Eur J Biochem 1989, 185: 271–279.
Kirk TZ, Mark ME, Chua CC, et al.: Myofibroblasts from scleroderma skin synthesize elevated levels of collagen and tissue inhibitor of metalloproteinase (TIMP-1) with two forms of TIMP-1. J Biol Chem 1995, 270: 3423–3428. 10.1074/jbc.270.31.18388
Scharffetter-Kochanek K, Wlaschek M, Hogg A, et al.: UVA irradiation induces collagenase in human dermal fibroblasts in vitro and in vivo. Arch Dermatol Res 1991, 283: 506–511.
Biggs JR, Yang J, Gullberg U, et al.: The human brm protein is cleaved during apoptosis: The role of cathepsin G. Proc Natl Acad Sci 2001,98(7):3814–3819. 10.1073/pnas.071057398
Pre-publication history
The pre-publication history for this paper can be accessed here:http://www.biomedcentral.com/1471-5945/2/12/prepub
Acknowledgements
This work is part of the doctoral thesis of Frank Breuckmann.
Author information
Authors and Affiliations
Corresponding author
Additional information
Competing interests
None declared.
Authors' contributions
F.B. participated in the design of the study, carried out the immunohistochemistry, performed the statistical analysis and drafted the manuscript. G.v.K. conceived of the study. A.A., A.K., T.G. and P.A. participated in its design and coordination.
All authors read and approved the final manuscript.
Authors’ original submitted files for images
Below are the links to the authors’ original submitted files for images.
Rights and permissions
This article is published under license to BioMed Central Ltd. This is an Open Access article: Verbatim copying and redistribution of this article are permitted in all media for any purpose, provided this notice is preserved along with the article's original URL.
About this article
Cite this article
Breuckmann, F., von Kobyletzki, G., Avermaete, A. et al. Modulation of cathepsin G expression in severe atopic dermatitis following medium-dose UVA1 phototherapy. BMC Dermatol 2, 12 (2002). https://doi.org/10.1186/1471-5945-2-12
Received:
Accepted:
Published:
DOI: https://doi.org/10.1186/1471-5945-2-12

